Medici Assessoria
Como que o nosso estilo de vida pode afetar o nosso coração: aterosclerose
Rotina de trabalho cada vez mais intensa e mudanças no estilo de vida da população com a diminuição da prática de atividade física e o aumento no consumo de alimentos mais calóricos, com baixo valor nutricional são fatores que tem influenciado de maneira muito expressiva para o desenvolvimento de doenças relacionadas ao sedentarismo e a obesidade.
Segundo dados da Pesquisa Nacional de Saúde (PNS) de 2019, divulgados pelo Instituto Brasileiro de Geografia e Estatística (IBGE) 40,3% da população brasileira acima de 18 anos é classificada como insuficientemente ativos, ou seja, não praticaram atividade física ou praticaram por menos do que 150 minutos por semana. Sendo considerados neste tempo as atividades físicas realizadas como lazer, no trabalho e no deslocamento para o trabalho.
Dentre as doenças relacionadas com o sedentarismo e obesidade, as doenças cardiovasculares são as que promovem o maior risco de morte. Dados da Organização Mundial da Saúde (OMS) mostram que anualmente cerca de 17,9 milhões de pessoas morrem anualmente por doenças cardiovasculares, o que corresponde a 32% de todas as mortes.
No Brasil de acordo com a Pesquisa Nacional da Saúde de 2019, 8,4 milhões de pessoas acima dos 18 anos de idade tiveram algum diagnóstico médico de alguma doença cardiovascular.
Quando se fala de doença cardiovascular se fala de doenças que afetam o coração e os vasos sanguíneos.
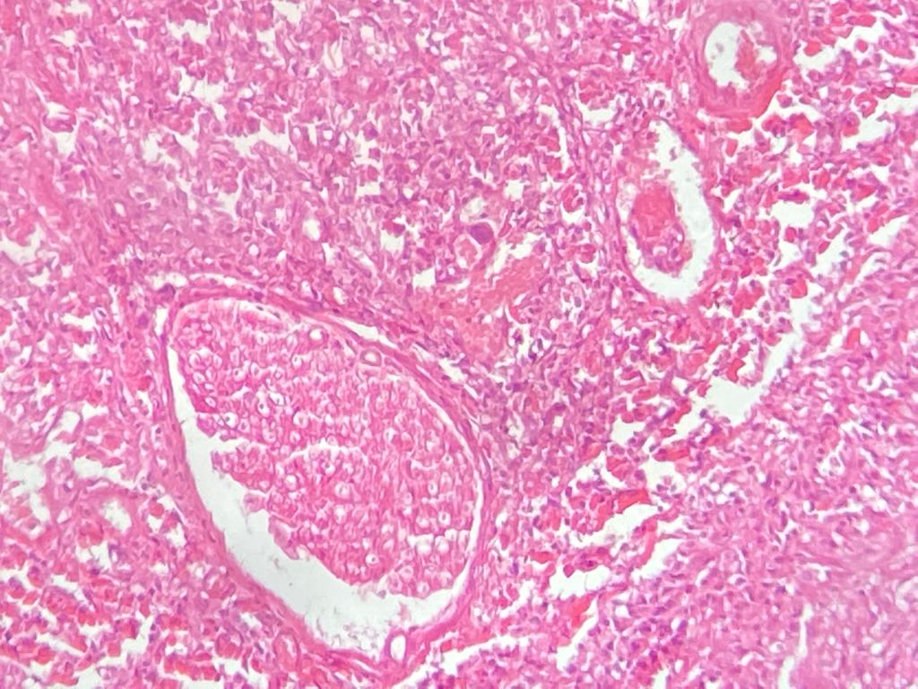
A aterosclerose, doença inflamatória dos vasos sanguíneos, que tem como principal complicação a obstrução do lúmen* arterial. Obstrução esta que tem início com a junção de placas de gordura (colesterol) junto ao endotélio do vaso sanguíneo, o que faz com que haja a ação de células do sistema imunológico e com isso se desenvolvam processos inflamatórios que afetaram a permeabilidade do vaso aumentando assim a sua rigidez.
Imagens cedidas por Luciana Colacio**
São várias as consequências deste processo que podem variar de acordo com o grau de obstrução do vaso sanguíneo e a região no corpo em que ocorre esta obstrução. Quando presente em uma artéria coronária pode levar ao infarto, pela obstrução do fluxo do sangue ao coração.
Os sinais e sintomas da formação e desenvolvimento da aterosclerose podem variar de acordo com a região afetada, sendo as mais comuns:
- Coração: angina (dor no peito), falta de ar e sudorese exacerbada;
- Carótidas (artérias do pescoço): alterações visuais, riscos de paralisia, desmaio e derrame;
- Ilíacas ou femorais (artérias das pernas): dores na perna ao caminhar, fraqueza muscular, com risco de desenvolvimento de trombos
A aterosclerose é uma doença com desenvolvimento silencioso, ou seja, muitas vezes a sua descoberta acontece quando já há um grande comprometimento do vaso sanguíneo e consequentemente maiores riscos à saúde. Por isso é fundamental que sejam sempre realizados exames periódicos, mesmo em indivíduos praticantes de atividade física, isso porque fatores como estilo de vida pregresso (indivíduos que mantiveram estilo de vida sedentário por muitos anos) e fatores genéticos (indivíduos que expressam colesterol alto) podem influenciar para o desenvolvimento da aterosclerose.
O tratamento vai variar de acordo com o grau de comprometimento e a região afetada, podendo ser medicamentoso, não medicamentoso (exercício físico e alimentação equilibrada) e até mesmo com intervenção cirúrgica.
Em se tratando da prática de exercício físico, é fundamental o acompanhamento de um profissional de Educação Física, buscando controlar fatores como frequência cardíaca (intensidade) e do volume (tempo) para que se possa melhorar a qualidade de vida e evitar riscos potenciais.
* Lúmen, em anatomia significa Lúz ‘espaço’, para os vasos sanguíneos é a região que corresponde a passagem de sangue para que seja este direcionado por todo o nosso corpo.
** Luciana Colacio, Bióloga Especialista - Responsável Técnica CEO - Collab Laboratorio, docente em Ensino Superior Gestão Laboratorial
Membro Núcleo Administrativo de Resíduo Vinculado do Grupo Cruzeiro do Sul - Pesquisadora científica
Para saber mais:
Lusis, A. Atherosclerosis. Nature 407, 233–241. 2000
Pesquisa nacional de saúde: 2019: percepção do estado de saúde, estilos de vida, doenças crônicas e saúde bucal: Brasil e grandes regiões / IBGE, Coordenação de Trabalho e Rendimento. - Rio de Janeiro: IBGE, 2020. 113p
WHO. Cardiovascular diseases. In. <https://www.who.int/health-topics/cardiovascular-diseases#tab=tab_1>
Imagem chamada: de master1305 no Freepik

Fábio Medici Lorenzeti,
Diretor e treinador na Medici Assessoria Esportiva.
Diretor técnico da Liga de Desportos de Rendimento e de base da capital, vale do paraíba e litoral norte (LIDER)
Mestre em Ciências (EEFE-USP, Lab. de nutrição e metabolismo aplicado a atividade motora)
Autor dos livros: Nutrição e Suplementação Esportiva: aspectos metabólicos, fitoterápicos e da nutrigenômica (2015, Phorte); Exercício, Emagrecimento e Intensidade de Treinamento: aspectos fisiológicos e metodológicos (2013/2ª ed., Phorte); Biologia e Bioquímica: Bases aplicadas às ciências da saúde (2011, Phorte). Além de outros trabalhos científicos nacionais e internacionais.
















